【医療監修】スリッパが健康と姿勢に与える影響とは?──足指・アーチ・転倒リスクを科学的に解説

はじめに
こんにちは、足指研究家の湯浅慶朗です。
私はこれまで10万人以上の足を見てきましたが、
「家ではスリッパを履いている」という方がとても多いと感じています。
そして、その方々の中には——
- 足指が動かない
- 立ち姿勢が崩れやすい
- 歩くときのバランスが不安定
- 冷えやすい
- 足裏の疲れが取れにくい
といった
“構造的な悩み”を抱えているケース
が非常に多いのです。
結論から言うと、
スリッパは医学的にも生体力学的にも、
足指の働きが低下しやすい履物
です。
この記事では、
最新の研究論文に基づきながら、
スリッパが
・姿勢
・足指
・バランス
にどのような影響を与えるのかを解説します。
第1章|なぜスリッパで足指が使えなくなるのか
——構造上の理由とバイオメカニクス
スリッパは以下の特徴を持っています。
- かかとが固定されていない
- 甲が浅く、足が前方へ滑りやすい
- 足が“ほぼむき出し”で保持力が弱い
- 歩行中に脱げやすい構造








このため、歩くときに
足指でスリッパをつかむ動作
が必要になります。

この“つかみ動作”が繰り返されると、
といった
構造的変化
の傾向 が見られます。


これは以下の研究とも整合します。
【研究①】
「スリッパを履くと歩行中の足関節角度が不安定になる」
Effects of Wearing Slippers on Walking Gait(2012)
→ スリッパ着用で足首が不安定になり、歩行時の制御が難しくなることが示されています。
【研究②】
「スリッパは脱げやすく、障害物を越える動作が慎重になる」
→ 膝・股関節を必要以上に曲げる“代償動作”が増えると報告されています。
【研究③】
「固定力の弱い履物は歩行バランスを低下させやすい」
Effects of Wearing Slippers While Obstacle Crossing(2023)
→ 足にフィットしない履物は、
足首・膝の角度変動が大きくなる傾向があり、転倒リスクとも関係すると示唆。
→ 足にフィットしない履物は、
足首・膝の角度変動が大きくなる
傾向があり、
転倒リスクとも関係
すると示唆。
スリッパが
「手軽で柔らかい履物」
に見える一方で、
構造上どうしても
足指を使いづらくする仕組み
を持っているということです。
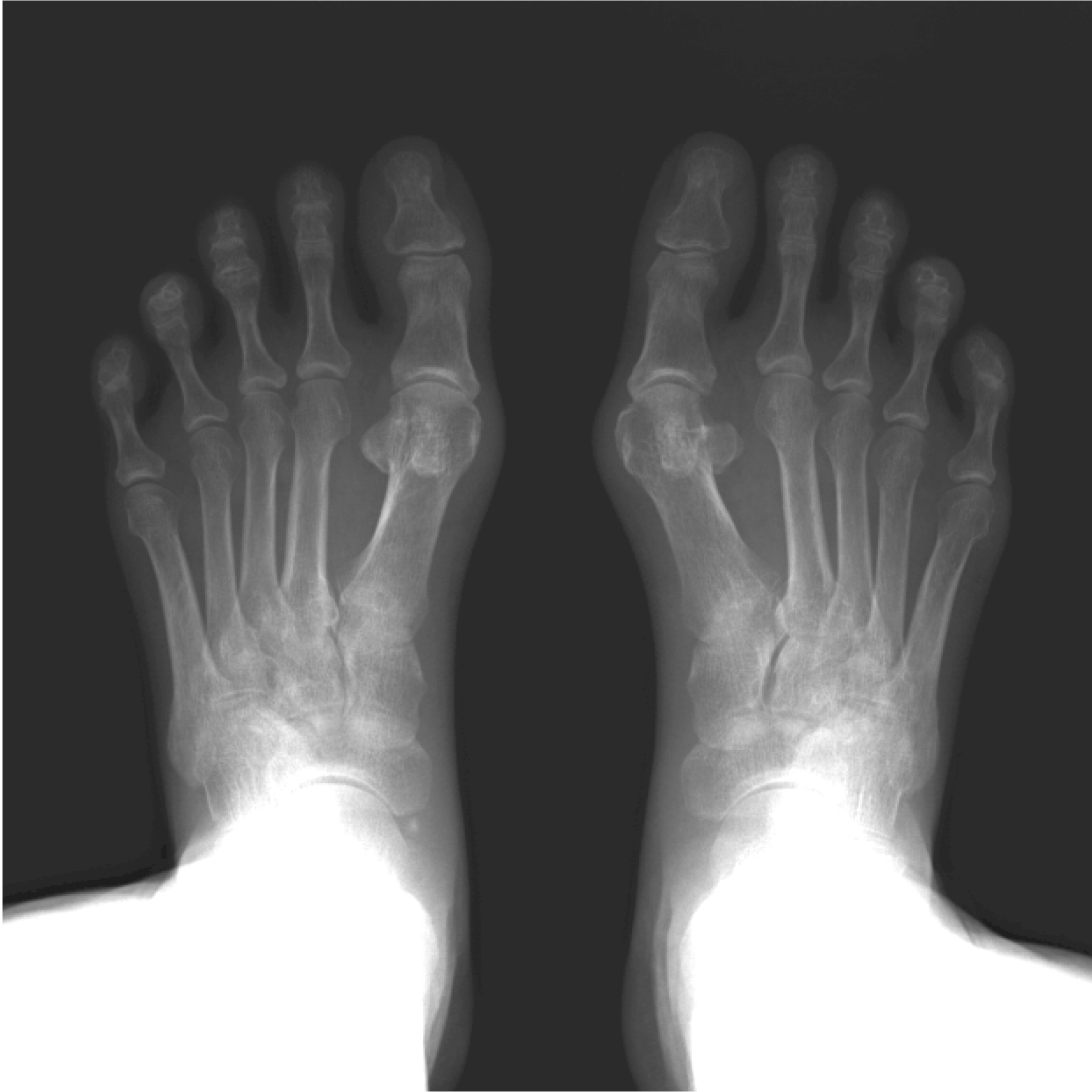
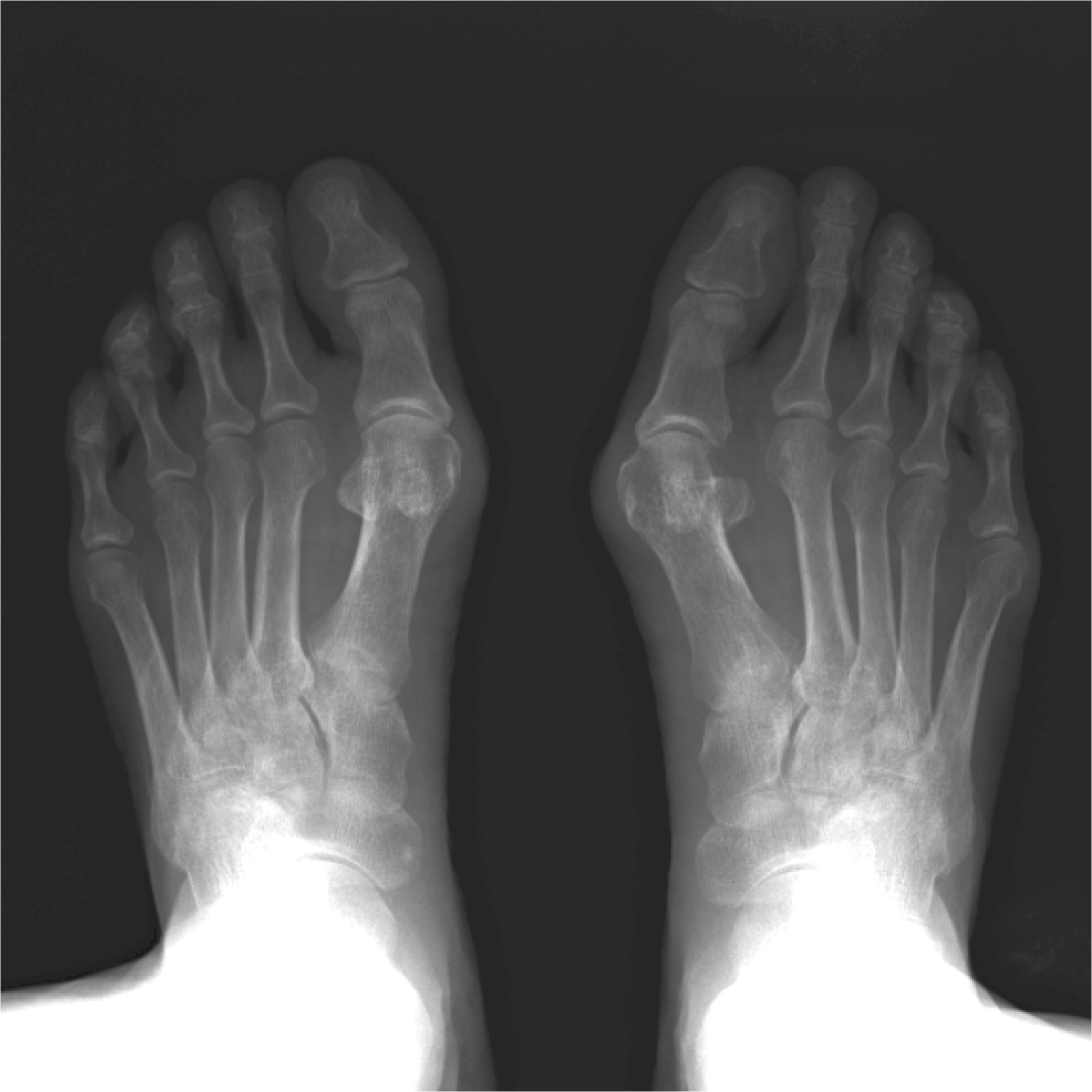
こうした「かかとが固定されない室内履き」の影響は、足指変形の中でも特に 内反小趾 と深く関係します。
家の中でのスリッパやサンダル習慣が、
なぜ小指を使えなくし、
内反小趾を進めやすくするのかについては、
こちらの記事で詳しく解説しています。
▶︎【医療監修】内反小趾を悪化させやすい室内環境── スリッパ・サンダルで「小指が消えていく」理由

第2章|スリッパと姿勢の崩れ
——猫背・反り腰・O脚にも“影響しやすい構造”
足指が使えないと、
立位姿勢は以下のように変化しやすくなります。
- 骨盤が後傾して猫背気味になる
- 腰が反って上体が後ろに倒れやすい
- 膝が伸び切らず“すり足”になる
- 左右どちらかに偏った荷重になる


このように
足指の接地感覚が姿勢制御に直結する
という考え方は、
でも中核として整理している視点です。
これは
私が10万人以上の足を診てきた臨床経験でも
一貫して観察されている「構造的傾向」です。
さらに、論文でも以下のような方向性が確認されています。
【研究④】
足指の機能低下やアーチの崩れは「姿勢制御の不安定さ」に繋がる可能性
この研究では、足趾の動きや足底アーチが姿勢制御にどのように影響するかを測定した結果、
- 足指の接地感覚が弱い
- アーチが低下している
といった状態では、
立位中の重心動揺(揺れ幅)が大きくなる傾向 が示されています。
足指・足底アーチは、脳が姿勢を把握するための重要な感覚入力であり、
その機能低下は“姿勢地図”の精度低下につながる可能性があります。
【研究⑤】
足部の形態変化は「姿勢の安定性」そのものに影響しうる
Beata Szczepanowska-Wolowiec et al., 2019(コハノフスキ大学医学部)
10〜15歳・200名の児童を対象に、
足部の形状(扁平足・開帳足)と姿勢安定性を調べた研究では、
足部の特定の形態指標が姿勢の揺れに関連する ことが明らかになりました。
年齢を問わず、足部構造が姿勢制御に影響しうるという方向性を示す研究です。
【研究⑥】
外反母趾の角度が大きいほど、前後方向の姿勢揺れが増える傾向
40歳以上の169名を対象にした調査では、
- 外反母趾の角度が大きい → 前後方向の姿勢揺れが大きい傾向
- 下肢筋量が少ない人ほど揺れが大きい
という結果が報告されています。
外反母趾のような“足指の変形”も、
姿勢制御に影響する可能性があることを示唆しています。
スリッパは、
という流れを作りやすい履物なのです。
第3章|スリッパと転倒リスク
——高齢者で特に注意すべき理由
スリッパは
高齢者の転倒要因
として
複数の研究で指摘されています。
【研究⑦】
「かかとの覆われたスリッパは安全性が高い」
→ かかとのないスリッパより、かかと固定型の室内履き の方がバランスが安定する。
【研究⑧】
「スリッパ歩行はつま先クリアランス(つまずき率)を下げる」
→ つま先が上がりにくく、障害物と接触しやすい。
【研究⑨】
「スリッパ使用者は転倒率が高い」
Aust N Z J Public Health, 2004(介護施設606名の追跡調査)
→ スリッパ利用は転倒と負傷のリスク因子のひとつと指摘。
【研究⑩】
「病院内転倒患者の99%がスリッパだった」
→ 医療現場でも、スリッパは“転倒リスクが高い履物”として注意喚起されています。
第4章|スリッパと足のアーチの関係
——子どもの研究でも示される“アーチ形成への影響”
Medial Longitudinal Arch(MLA:内側アーチ) の研究では、
履物の種類が
アーチの形成に関係する
可能性が示されています。
【研究⑪】
「つま先が覆われた靴・スリッパはアーチ形成に影響する可能性」
→ 幼少期にどんな履物を使っていたかで、7〜9歳のアーチ形成に差がある可能性。
これらの研究は、
“足元環境の違いが、
足部構造の発達そのものに影響しうる”
という方向性を示しています。
第5章|スリッパと歩行のバイオメカニクス
スリッパを履いた歩行では、
かかとが固定されていないため、
足が前にすべりやすい状態
になります。
すると、
足が脱げないようにするために、
つま先を上げる角度
膝・股関節の動かし方
が変化し、
歩行パターンが
通常とは異なる方向に
向きやすくなります。
2011年以降の複数の研究では、
スリッパのように
固定力の弱い履物
は、
歩行の安定性を低下させる
方向性が報告されています。
特に、
膝や足首の角度変動が大きくなることは、
転倒しやすい環境の一因
として示唆されています。
また、
スリッパ着用者では、
歩幅が狭くなりやすい
ことも指摘されており、
これは
スリッパが脱げないように
慎重な歩行になる
ことと関係していると考えられます。
そのため、
スリッパが
柔らかく軽い履物
であっても、
その構造上
足を不安定にする
点は理解しておく必要があります。
第6章|足にやさしいスリッパは存在するのか
結論として、
現在の市販スリッパには
医学・生体力学的に
足指の機能を妨げない構造
を十分に満たしたものは
多くありません。
マジックテープやストラップ付き
のものも販売されていますが、
足首まで完全に固定される
わけではないため、
歩行中に
足が前に滑る動作を完全に防げる
とは限らないからです。
ただし、
以下のような
室内環境の工夫を取り入れる
ことで、
スリッパに頼らなくても
快適に過ごせる環境づくりが可能
になります。
- 滑りにくい靴下などで
足の安定性を高める - キッチン・洗面所には
クッション性マットを敷く - 足が固定される
ストラップ付きサンダルを
短時間だけ利用する - 冷え対策として
レッグウォーマーを併用する - 可能な範囲で
裸足で過ごす時間をつくる
スリッパを
完全に否定するのではなく、
「足指が働きやすい環境をどう確保するか」
という視点が重要です。
これが
姿勢や歩行の快適さ
に繋がりやすくなります。
第7章|スリッパの歴史と誤解
スリッパは、
足のために開発された履物ではありません。
19世紀の開国時代、
日本の寺院や旅館に来訪した西洋人が
土足で畳に上がることを防ぐ
ために作られたのが始まりです。
足を守るためではなく、
「室内を汚さないための道具」
として発展したことが、
資料からも示されています。

その後、
洋風の生活様式の広がりとともに
家庭内で使われるようになり、
現在の形に定着しています。
つまり、
スリッパは
・利便性
・文化的背景
から生まれた履物であり、
足の健康を目的
として生まれたものではありません。
昔から使われているもの=身体に良い
とは限らないことがわかります。
第8章|まとめ
スリッパは
便利で手軽な履物ですが、
生体力学的には
足指の働きを妨げやすい特徴
を持っています。
特に、
かかとが固定されない構造
は
歩行の安定性を低下
姿勢バランスを崩しやすい
ことが複数の研究で示されています。
重要なのは、
「室内で何を履くか」よりも、
「足指が働きやすい環境をつくること」
です。
裸足で過ごす
グーチョキパーをする
滑りにくい環境を整える
など、
日常生活でできる工夫は多くあります。
そして、
生活用品として靴下を選ぶ際も、
足指の動きを妨げない素材や構造
を意識することで、
足元の快適性が高まりやすくなります。
こうした小さな積み重ねが、
姿勢や歩行の安定に繋がっていくのです。
ここまで読んで、
「スリッパは良くないのは分かった」
「裸足で過ごした方が良さそう」
そう感じた方も多いと思います。
ただ、臨床ではこんな声もよく聞きます。
・裸足だと冷える
・床が硬くて足が疲れる
・家事や仕事中は長時間立つ
・何も履かずに過ごすのは難しい
つまり問題は、
「スリッパを履くか・履かないか」
ではなく、
“足指が働きにくくならない環境を、
どうやって一日中保つか”
という点にあります。
関連記事|スリッパと足のトラブル
スリッパ生活は、足指の働きが低下しやすい環境を作るため、さまざまな足のトラブルと関係することがあります。
以下の記事では、スリッパとそれぞれの症状との関係を整理しています。
▶︎【医療監修】内反小趾を悪化させやすい室内環境──スリッパ・サンダルで「小指が消えていく」理由

▶︎【医療監修】家のスリッパがモートン病を作る― スリッパ生活と前足部ストレス

▶︎【医療監修】変形性膝関節症とスリッパ生活のリスク― 室内で膝が不安定になる人に共通する足元の条件









































































































