【医療監修】外反母趾を悪化させない靴の選び方|「幅」より大切な5つの判断基準

はじめに|「幅広の靴を履いているのに、なぜ外反母趾は悪化するのか?」
こんにちは、
足指研究家の湯浅慶朗です。
外反母趾に悩む方の多くが、
まず最初に行う対策が「靴選び」です。

・幅広の靴に変えた
・ヒールをやめた
・柔らかい靴を選んだ
それでも、
痛みが残る
角度が進行する
結局、別の靴を探し続けている
そんな経験はありませんか?
実は、外反母趾において
「幅」だけを見た靴選びは、ほとんど意味を持ちません。
なぜなら外反母趾は、
靴の中で 足がどう使われているか によって進行するからです。
この記事では、
・外反母趾を悪化させる靴の共通点
・「良さそう」に見えて危険な判断基準
・本当に見るべき靴選びの軸
を、構造的に整理します。
外反母趾は「靴で曲がる」のではなく「靴の中の使われ方」で決まる
外反母趾は、

靴が当たるから
圧迫されるから
という 外的刺激だけ で起きているわけではありません。
多くの場合、

・靴の中で足が滑る
・足指が地面を押せない
・前足部の足底圧が抜ける
・重心が内側に逃げる
という 力学的な崩れ が先に起きています。
外反母趾は次のように起こります。
①足元環境(靴・靴下・履き方・歩き方)
↓
②足が滑る
↓
③足指で踏ん張るクセがつく
↓
④浮き指・屈み指が起こる
↓
⑤足指が使えなくなる
↓
⑥筋肉が働きにくくなる
↓
⑦横アーチが崩れる(開帳足)
↓
⑧母指内転筋が引き伸ばされる
↓
⑨親指が内側に引っ張られる
↓
⑩外反母趾

つまり、
原因は親指ではなく、
「その前の環境」にある
ということです。
この構造については、
下記の記事で詳しく解説しています。
▶︎ 【医療監修】外反母趾の原因とは?

つまり靴選びとは、
「当たらない靴」を探すことではなく、
足の使われ方を崩さない靴を選ぶこと なのです。
靴選びの基準そのものについては、こちらで詳しく解説しています。
▶︎ 【医療監修】あなたの靴選び、間違っていませんか?——足指から読み解く“本当に合う靴”の基準

外反母趾を悪化させやすい靴の特徴
① とにかく「柔らかい」靴






柔らかい靴は一見、足に優しそうに見えます。
ですが実際には、
・足が靴の中で安定しない
・前足部が潰れやすい
・指が踏ん張れない
という状態を作りやすく、
足指の機能低下を助長 します。
② 幅が広すぎる靴
「外反母趾=幅広が正解」と思われがちですが、
幅が広すぎる靴は、
・足が前に滑る
・母趾にねじれが集中する
・小指側が使われなくなる
結果として、
親指だけに負担が集まる構造 を作ります。
指先のスペースが広いことが悪いことではありません。しかし、靴ひもなどでしっかりと固定ができなければ、幅が広い靴も外反母趾にとって逆効果になることがあります。
③ つま先が反りすぎている靴
つま先が大きく反っている靴は、
・指が曲がったまま固定される
・足底筋群が働きにくい

外反母趾だけでなく、
浮き指・屈み指を助長しやすくなります。
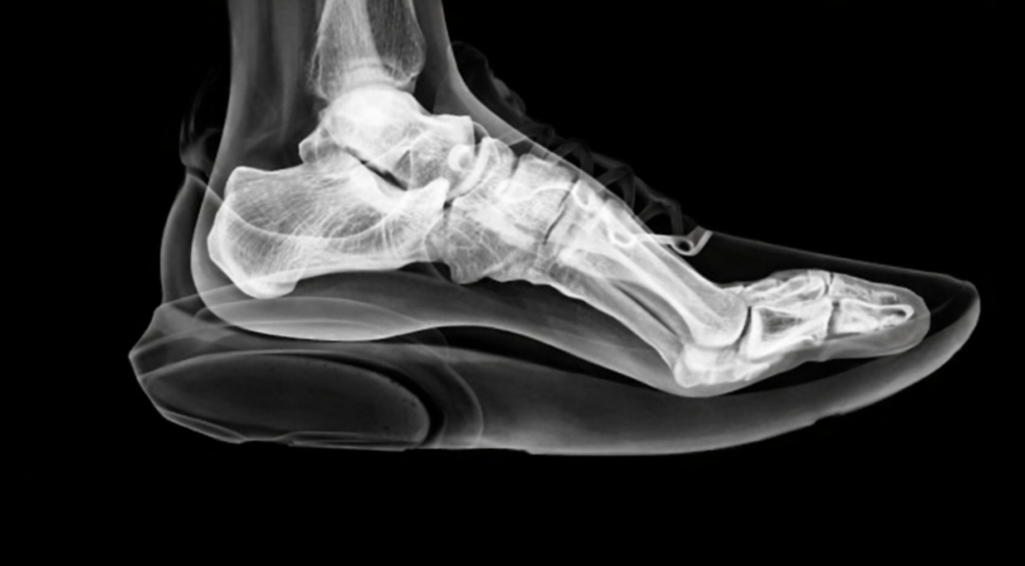
外反母趾の靴選びで本当に見るべき「5つの判断基準」
判断基準① 親指が「押せる」構造か
重要なのは、
靴の中で 親指が地面を押せているか です。

・つま先が細すぎない
・反りすぎていない
・指先が逃げない
この条件がそろわないと、
外反母趾は靴の中で固定化しやすくなります。
判断基準② 足が靴の中で滑らないか
外反母趾が進行する最大要因の一つが
靴内滑り です。

滑る → 指が踏ん張れない → 親指にねじれが集中
という連鎖が起きます。
これは靴のサイズだけでなく、
・素材
・踵のフィット
・甲のホールド
によって大きく左右されます。
靴の中で足が滑らない状態をつくる具体的な方法については、こちらで詳しく解説しています。
▶︎ 【医療監修】足指再教育のための靴マッサージ・紐締め・滑り止め3ステップ

判断基準③ 小指側が「押されていない」か

外反母趾は親指の問題に見えますが、
実際には 小指側が使われなくなること で進行します。
・外側に体重が乗れるか
・小指が接地しているか
これがない靴は、
どれだけ親指を広げても意味を持ちません。
判断基準④ 「クッション」で誤魔化していないか

クッションが厚すぎる靴は、
・足底感覚を遮断する
・荷重のズレに気づけない
結果として、
外反母趾の原因に 気づけない足 を作ります。
判断基準⑤ 日常で「履き続けられる」か
外反母趾は短期間では変わりません。
・特別な時だけ履く靴
・我慢が必要な靴
では、
足の使われ方は変わりません。
靴を変えても不安が消えない人へ
ここまで読んで、
・靴を見直しても痛みが残る
・「これ以上、何をすればいいのか分からない」
・手術という言葉が頭をよぎる
そんな方もいるかもしれません。
ですが実際には、
手術を考える前に整理すべき判断材料 が残っているケースも多くあります。
手術を急ぐ前に知っておいてほしい選択肢については、
こちらの記事で詳しく解説しています。
▶︎ 外反母趾は手術しないと治らない?――判断を急ぐ前に知っておくべきこと

靴選びは「治療」ではなく「環境づくり」
靴は、
外反母趾を治す道具ではありません。
ですが、
外反母趾を 進める環境にも、止める環境にもなる
非常に影響力の大きい要素です。
自宅での向き合い方を含めた全体像は、
次の記事が参考になります。
▶︎ 外反母趾は自宅でどこまで治せる?――重度でも変化が出る人の共通点
.204-scaled.jpeg)
まとめ|外反母趾の靴選びで最も大切なこと
外反母趾の靴選びで大切なのは、
・幅が広いかどうか
・有名ブランドかどうか
ではありません。
・足がどう使われるか
・どこに力が逃げているか
・無意識の時間で何が起きているか
これを基準に見ることで、
靴選びは 外反母趾対策の中核 になります。
「何を履くか」ではなく、
「その靴の中で、足がどう使われているか」。
ここを見失わないことが、
遠回りしない最大のポイントです。








































































































